WEBお問い合わせ
TOP
治療方針
治療案内
症例一覧
ドクター紹介
院長紹介
ドクター紹介
アクセス
TOP
治療方針
症例一覧
治療案内
インプラント治療
インプラントリカバリー
矯正 × インプラント
先天性欠損アプローチ
フルマウスリコンストラクション
矯正治療
ホワイトニング
審美歯科
予防歯科
歯科口腔外科
一般歯科
美容歯科
小児歯科・小児矯正
精密審美治療
医院案内
医院紹介
設備紹介
スタッフ紹介
院長紹介
ドクター紹介
お知らせ
アクセス
当院の施設基準について
診療時間
月
火
水
木
金
土
日
祝
9:00 - 13:00
(最終受付
12:15
)
15:00 - 18:30
(最終受付
17:45
)
※年末年始、GW、お盆は休診します
お電話からのご予約も承ります
0276-55-0218
WEBからのお問い合わせ
症例一覧
CATEGORY
症例カテゴリから探す
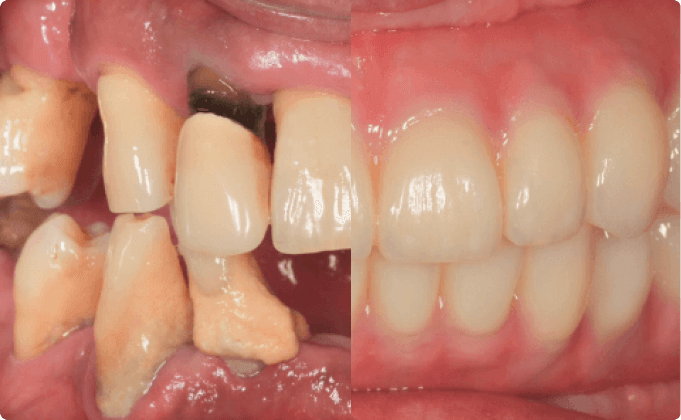
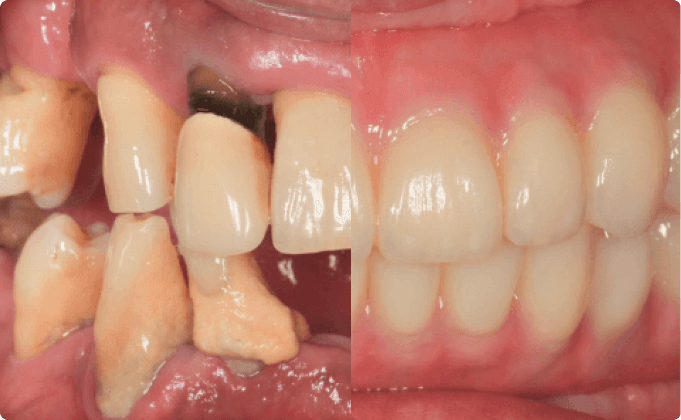
インプラント治療
失った歯を、自然な見た目と噛み心地で再現。他院では難しい症例でも症状に合った最適な対応が可能。
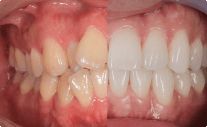
矯正治療
患者様への丁寧な説明を徹底し、最先端の矯正治療技術を常に取り入れています。
ダイレクトボンディング
ダイレクトボンディングは、チェアサイドで直接口腔内に多種類のプラスチックを盛りつけ歯を形成していく治療です。
ホワイトニング
失った歯を、自然な見た目と噛み心地で再現。他院では難しい症例でも症状に合った最適な対応が可能。
ホーム
»
症例