年齢を重ねるにつれて、心疾患や糖尿病などの全身疾患のリスクが高まり、将来的に通院が難しくなる可能性があることが指摘されています。
特にお口の健康状態は全身の健康に深く関わっているため、“人生最後のインプラント治療”は、心身ともに元気なうちに受けておくことをおすすめしています。
ご不安なことがあれば、どうぞお気軽にスマイルデンタルオフィスまでご相談ください。
世界基準の
インプラント治療
多数の治療により経験と知識を培うことで、私達は自信を持って患者様に当院のインプラント治療をお勧めしております。

正確なインプラント施術
確実に、安全に
精密な診断に基いた正確なインプラント治療を施すため先進機器を導入、治療手順や内容を可視化し、患者様に充分なご理解をいただいてから治療に入ります。
一度埋入したインプラントを長期に機能させるためには最適な箇所への埋入が重要です。当院ではシミュレート通りに理想の埋入を実現するため「サージカルガイドシステム」を導入しております。
歯を失った際の第一選択肢は
インプラント治療 です。
噛み合わせ、他の歯への影響、日常生活の満足度など、メリットは計り知れません。
当院で治療された患者様には大変満足いただいており、我々も自信をもって
インプラント治療をご提案しています。
他院では難しい症例でも
症状に合った
最適な対応が
可能です。
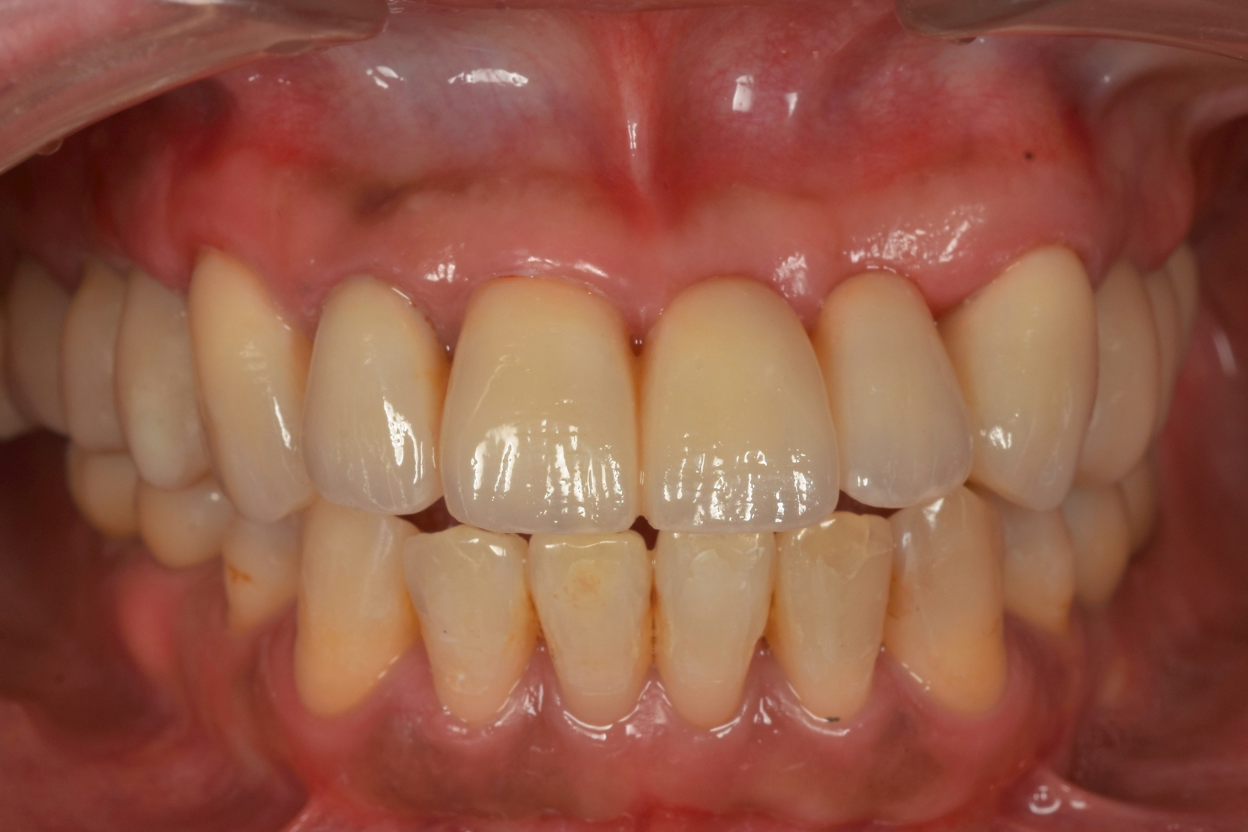
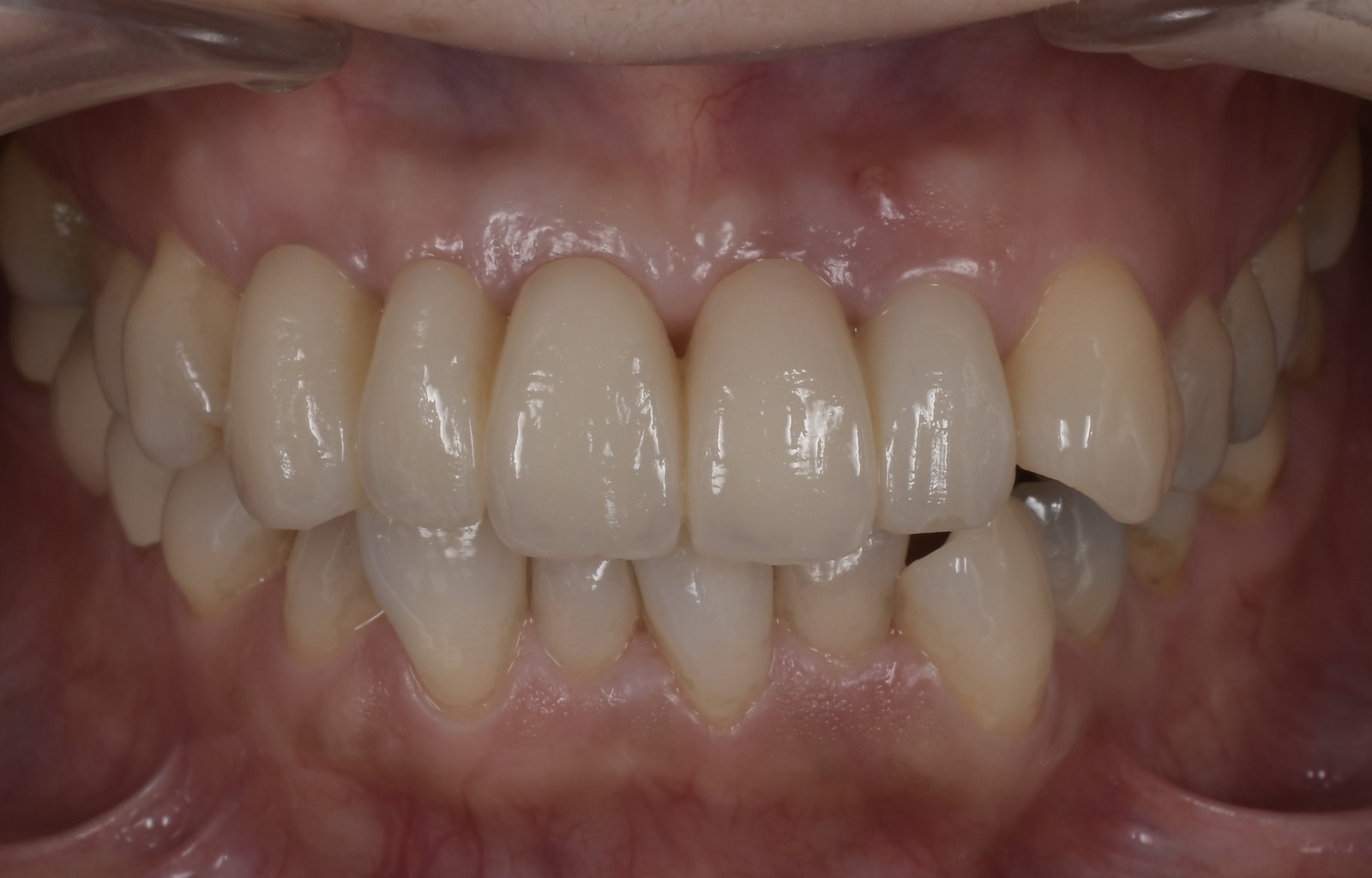
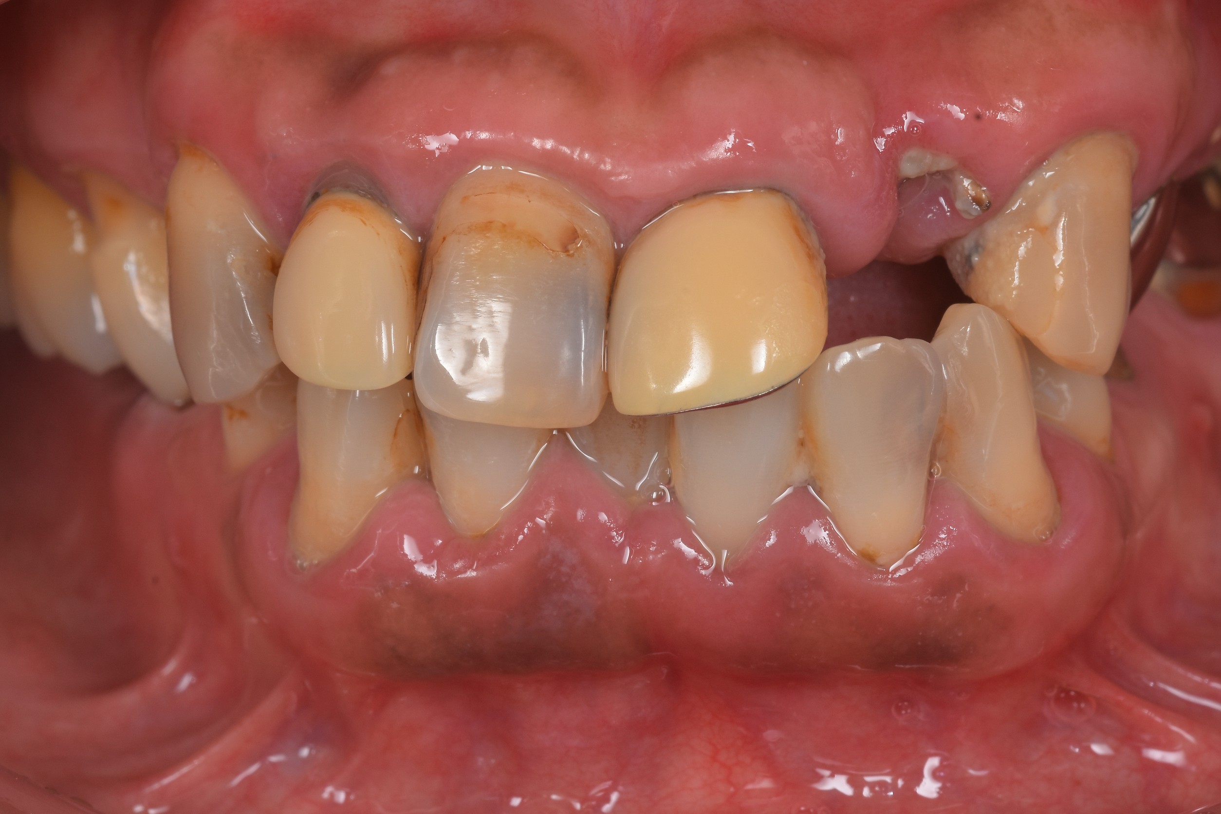
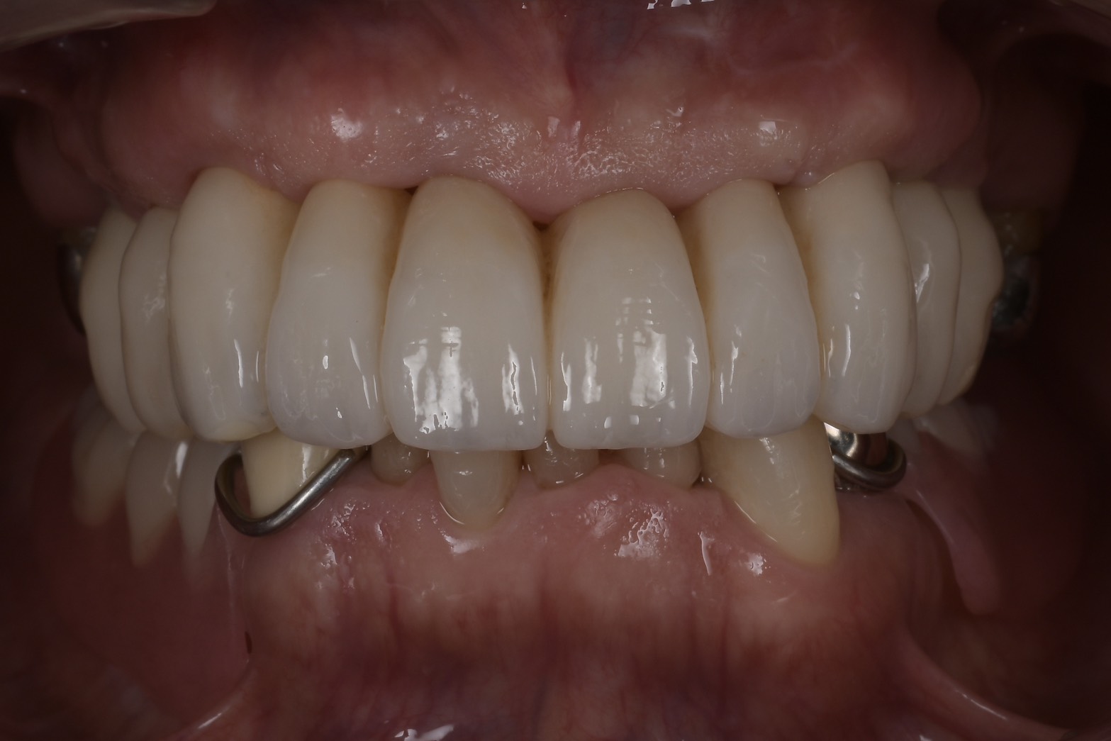
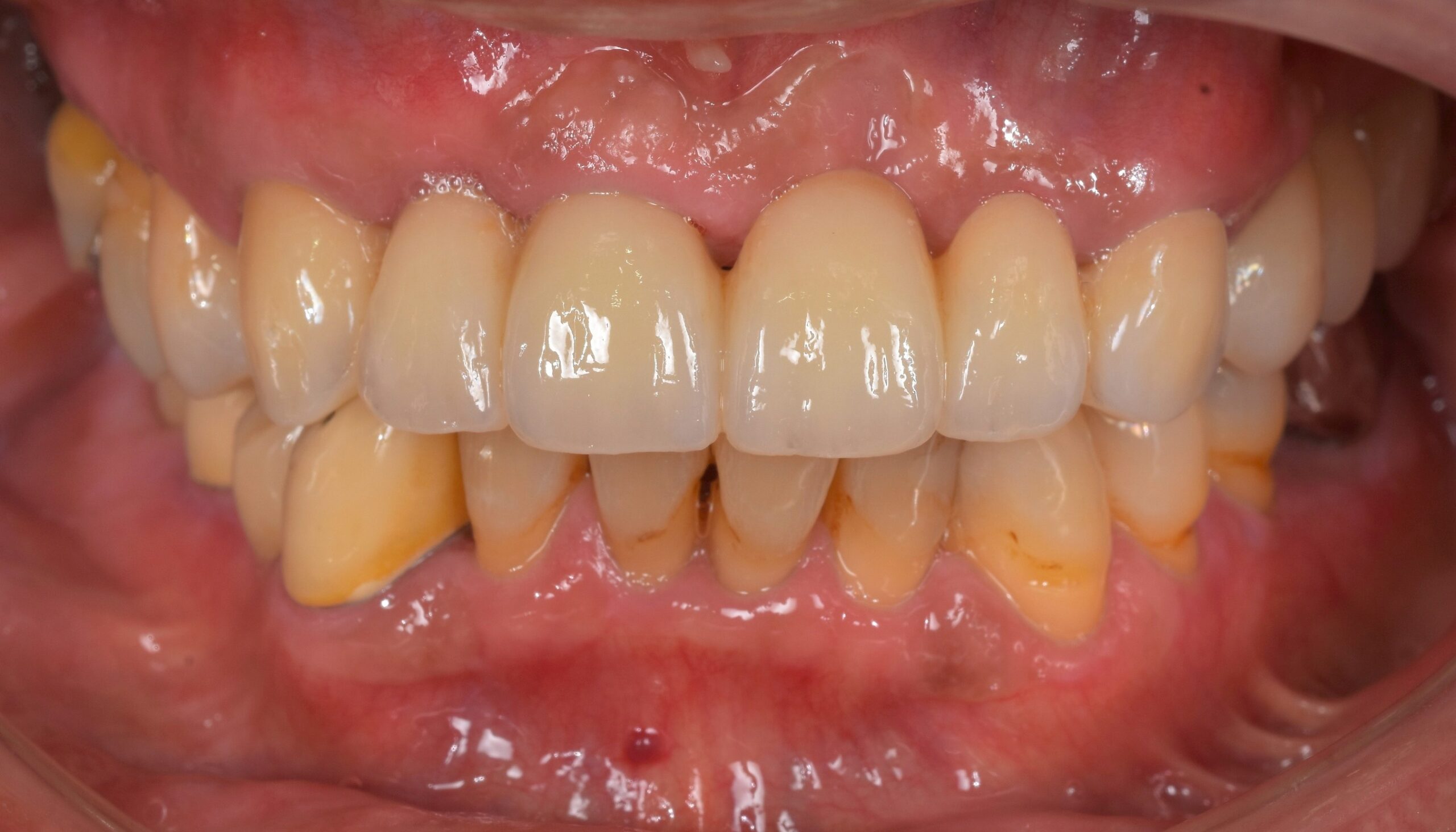
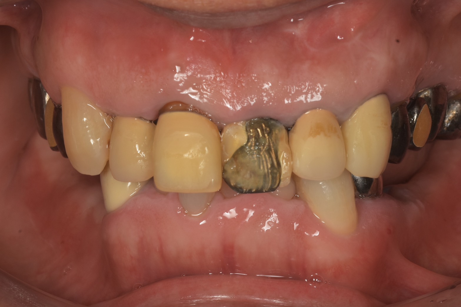
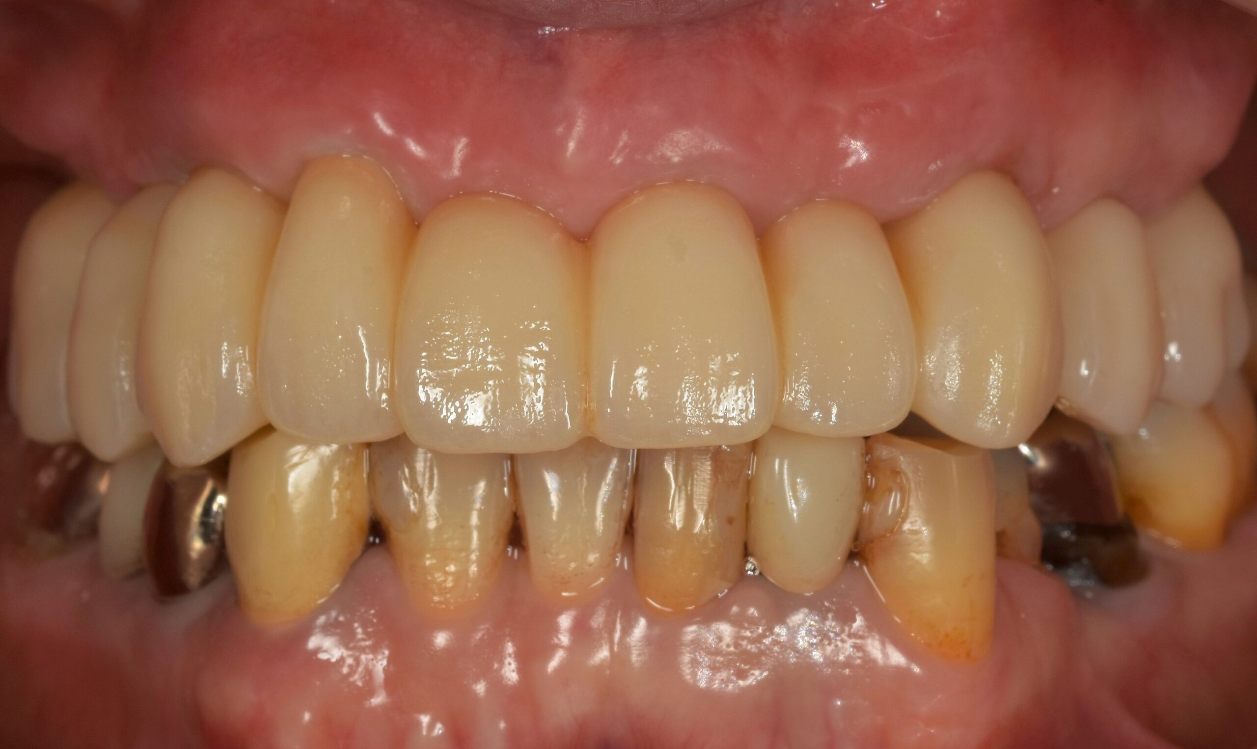
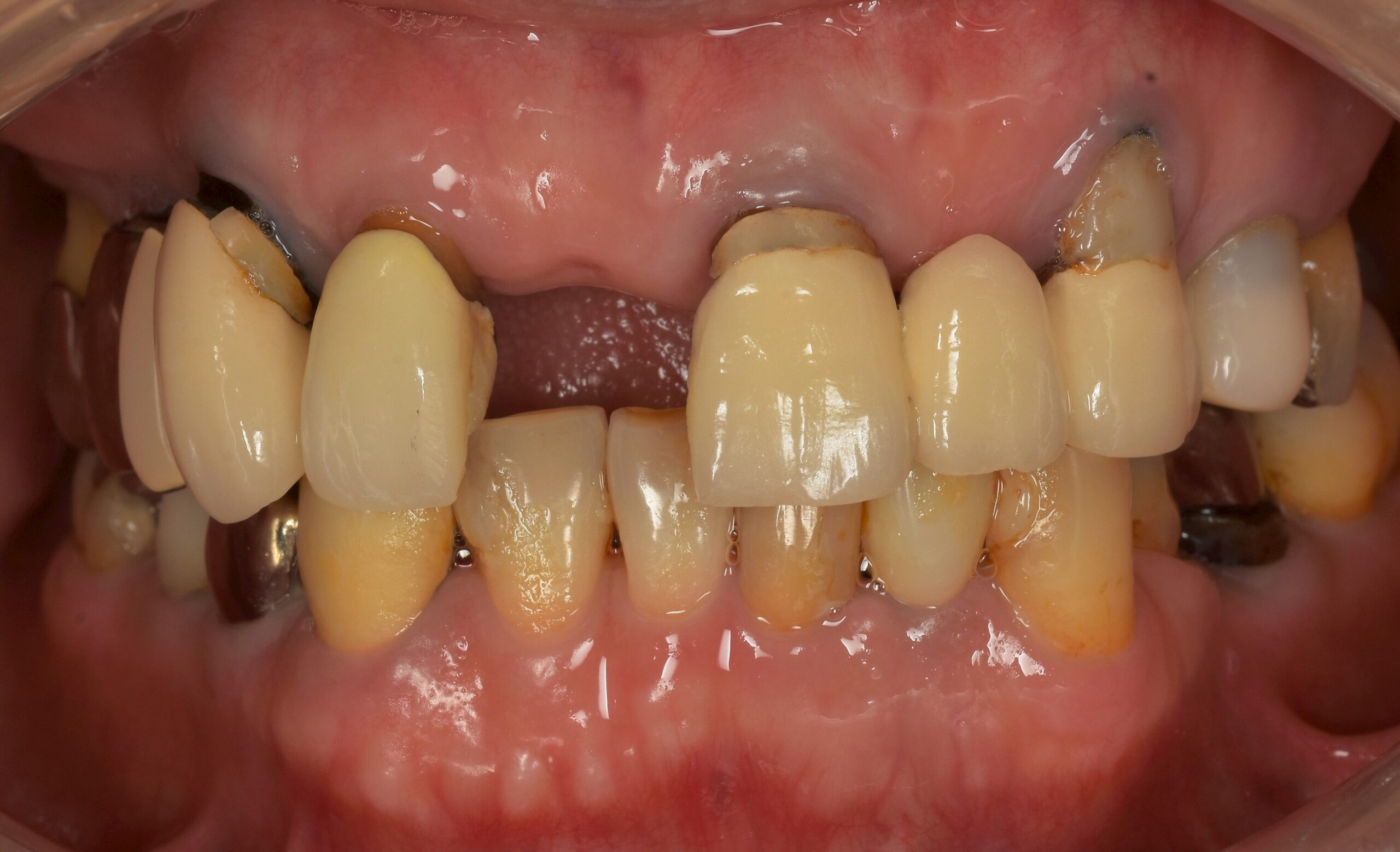
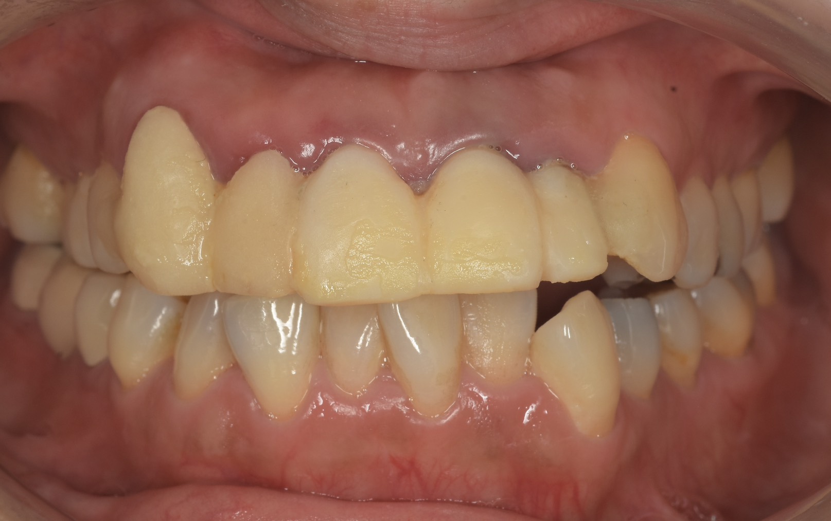
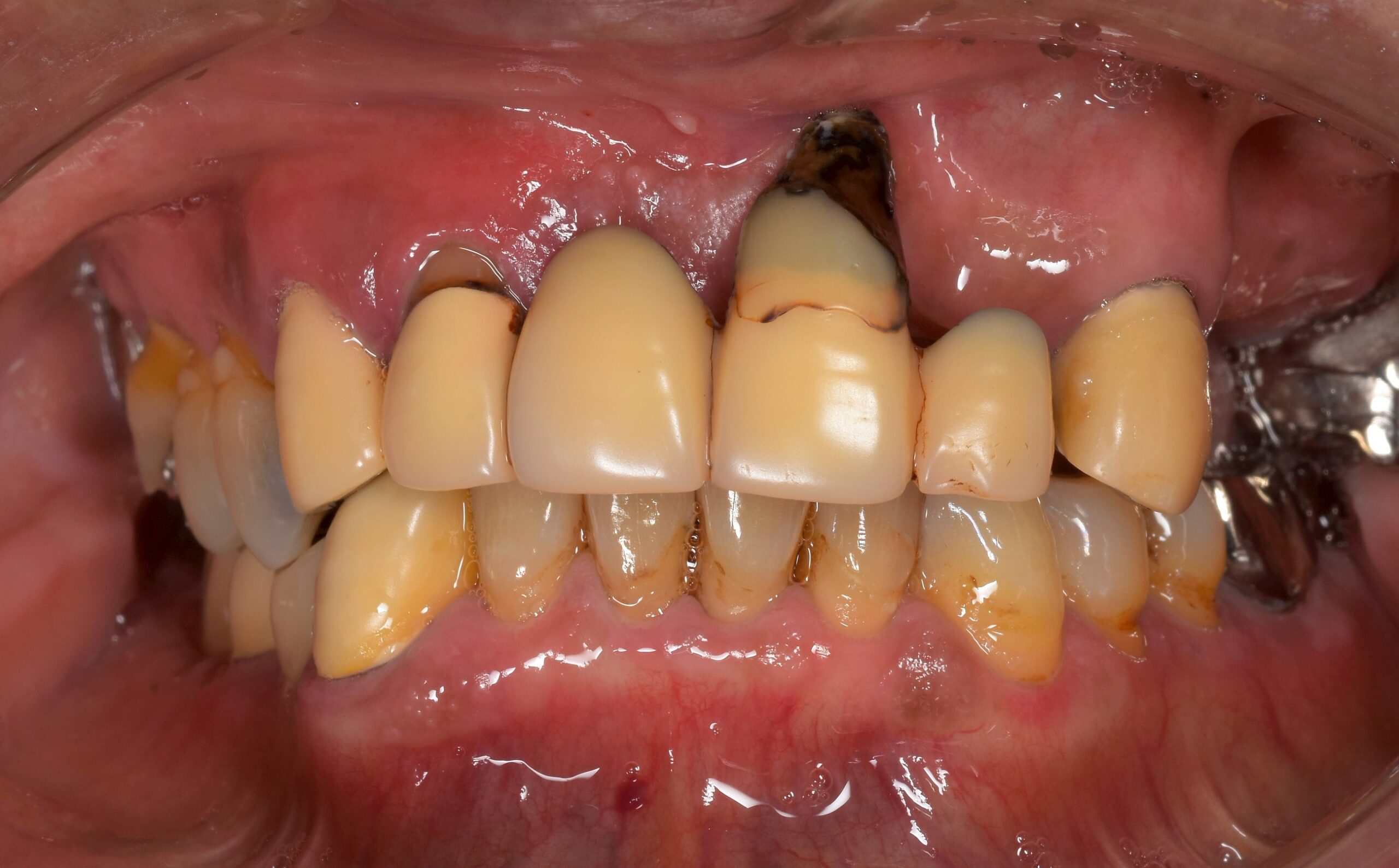
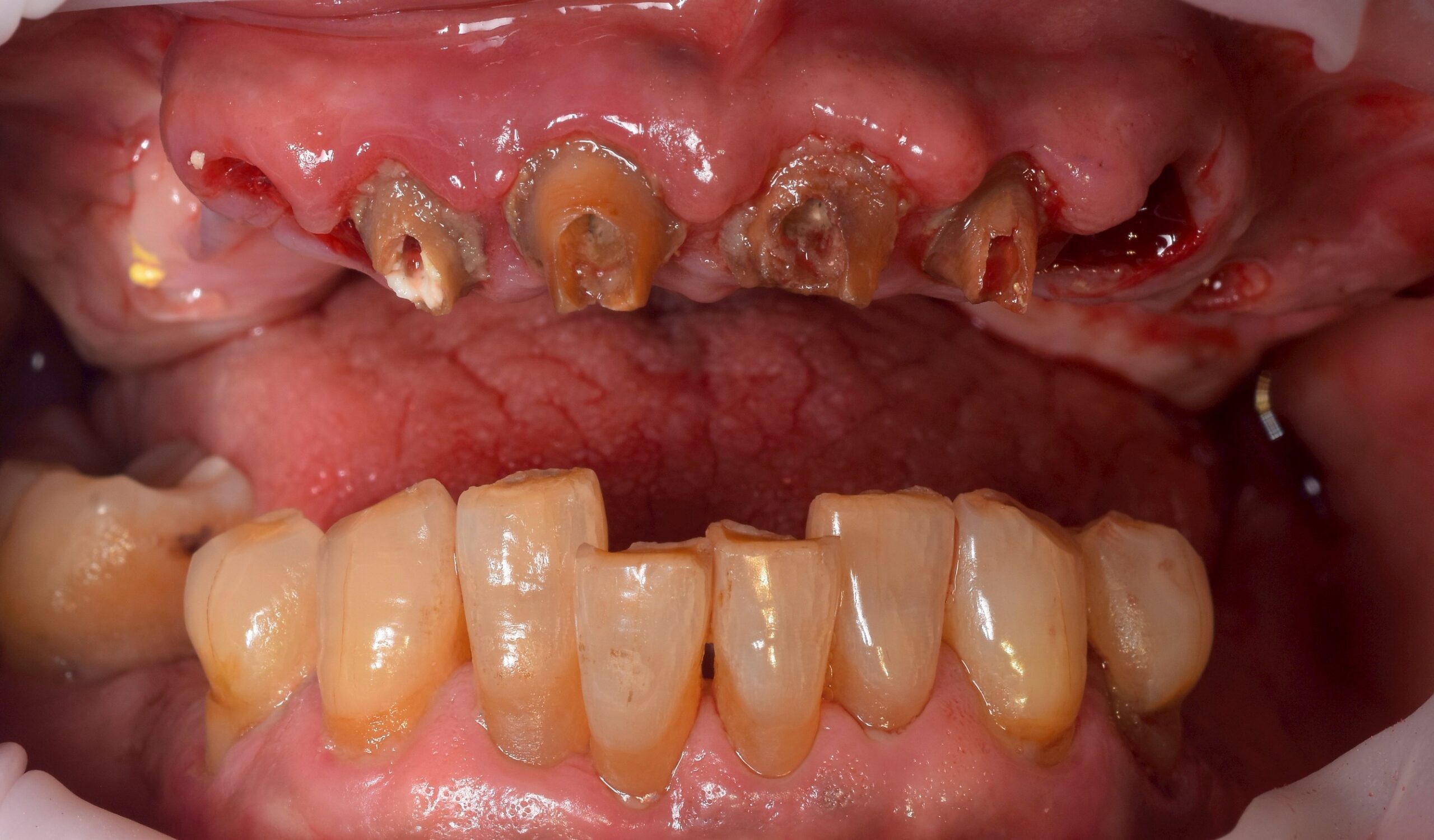
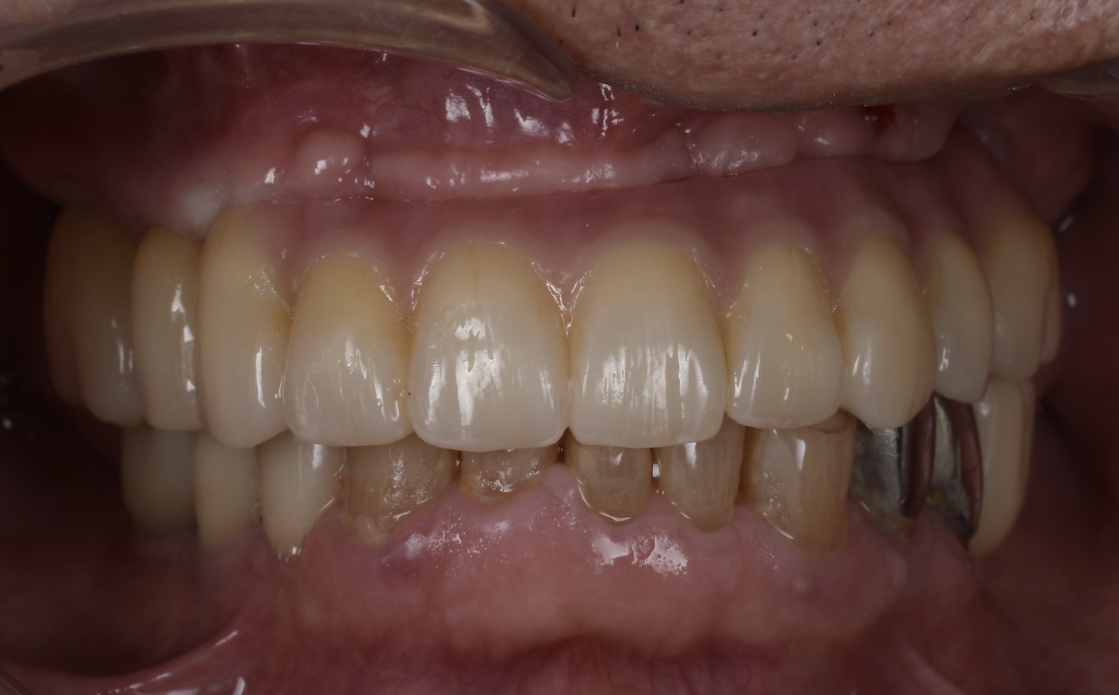
インプラント治療の症例紹介
※スライダを左右にドラッグして画像を比較できます
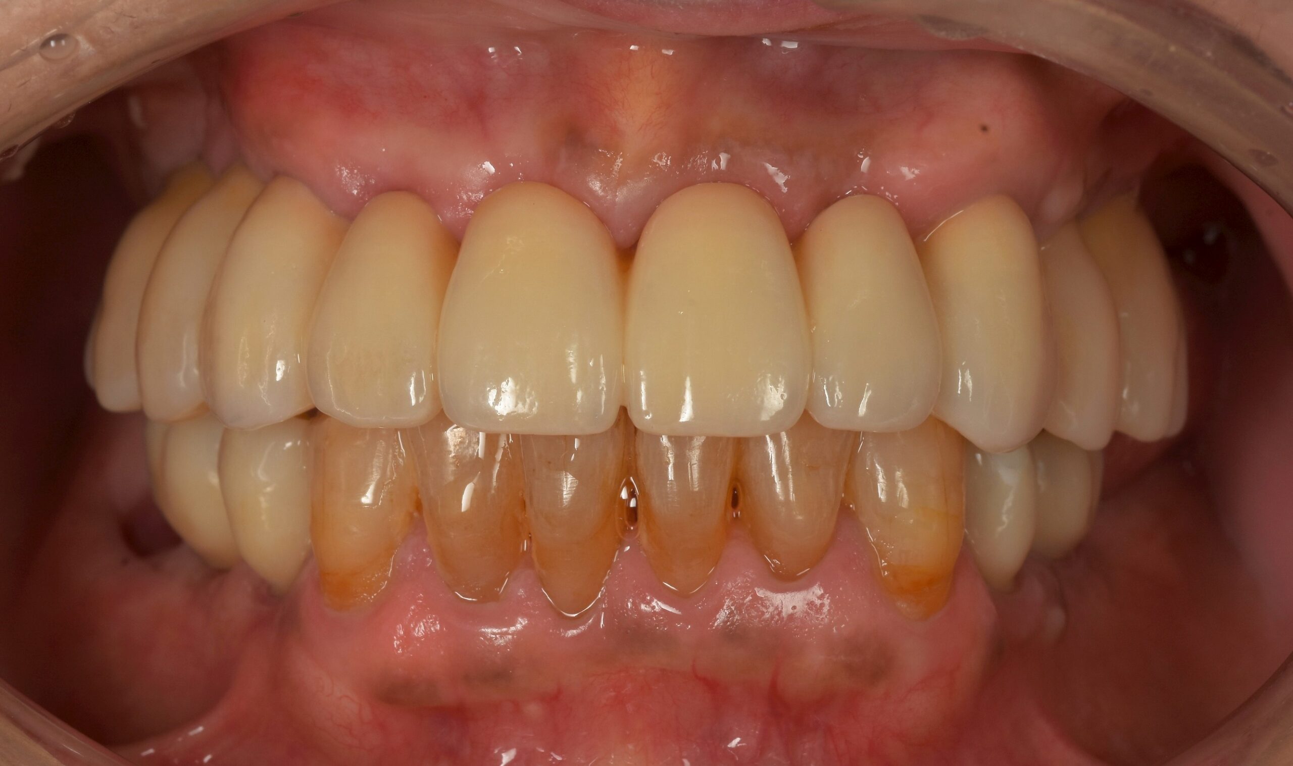
70代男性 インプラント+セラミック治療(上顎)
| 主訴 | |
|---|---|
| 治療内容 | インプラント セラミック治療 (上顎) |
| 治療期間 | 期間:9ヶ月 |
| 治療費 | 4,250,000円 (税込 4,675,000円) |
- 機能性や審美性を重視するため自費(保険適用外)での診療となり、保険診療よりも高額になります。
- インプラントの埋入にともない、外科手術が必要となります。
- 毎日の清掃が不十分だった場合、インプラント周囲炎(歯肉の腫れや骨吸収など)を引き起こすことがあります。
インプラントリカバリー
インプラントのやり直しをご検討の方へ。他院でのトラブルや不具合を、再治療で改善。
矯正 × インプラント
噛み合わせと歯並びを総合的に整える複合治療。精密な診断と連携で理想の口元に。
先天性欠損アプローチ
本来あるべき永久歯がない方への治療をご紹介。審美性と機能性の両立を目指します。
フルマウスリコンストラクション
口全体を総合的に治療する高度歯科治療。失われた機能と見た目を一から再構築します。

即時荷重インプラント治療という方法を用い、インプラントの埋め込み手術をしたその日のうちに、仮の歯を取り付けます。また、シロナ社のセレックシステムを導入しておりますので、オールセラミックスによる補填物のご提供が1日で可能です。
その為、外見の違和感もなくなり、手術当日から食事をとることができるので、患者様の生活面、精神面での負担が大きく減らせます。※症例による場合があります。
最先端の技術+最新の機材
使用しております
XガイドとはCT測定を使用し、インプラント埋込位置を正確にナビゲーションするシステムです。
この機器を使用することで
より正確で間違いのない
インプラント治療が実施できます。
歯がボロボロ、ほとんどないという方には全ての歯にインプラントを埋め込むのではなく、患者様の必要な本数のみインプラントを埋入することでキレイな歯を取り戻せる治療技術で、身体への負担が抑えられる画期的な治療技術です。
※Xはインプラントの埋入本数です。
70歳までに生涯最終
インプラント治療を
スマイルデンタルオフィスのドクターは、「国際口腔インプラント学会」の指導医です。
この学会は、ドイツを拠点とし世界中の歯科医師が最新の知見や技術を共有し合う、歴史あるインプラント学会「DGZI」の日本支部として活動している組織です。
指導医として認定されるためには、豊富なインプラント治療症例の発表と、その実績が学会から認められる必要があります。また、認定後も定期的な講習の受講が義務付けられており、常に知識と技術をアップデートし続ける姿勢が求められます。
当院では、世界水準の知識と経験に基づいた、安心・安全なインプラント治療をご提供しています。
治療期間の短縮と低侵襲を目指す
抜歯即時埋入(ばっしそくじまいにゅう)
歯を抜いたその日に、インプラントを埋め込む先進的な治療法です。この方法では外科処置が一度で済むため、治療期間を大幅に短縮できます。
また、抜歯直後の歯ぐきの形を保ったまま処置できるため、見た目の自然さを維持しやすく、傷の治りも早くなることが期待できます。 手術回数を減らし、身体的・精神的なご負担を少しでも軽くしたい方におすすめです。
即時荷重インプラント(そくじかじゅう)
インプラントを埋入したその日に、仮歯を装着できる画期的な治療法です。欧米を中心に広まりつつあるこの技術では、手術当日から歯の見た目と“噛む機能”をある程度回復できるため、治療中のストレスや不自由さを大きく軽減できます。
見た目を気にせず人前に出られる、食事も早期に楽しめるなど、生活の質(QOL)を維持したまま治療を進められるのが最大のメリットです。
即時荷重インプラントは近年提唱され始めた治療法により、国内では導入できる医院が限られていますが、スマイルデンタルオフィスには「即時荷重研究会」の理事が在籍しており、高度な知識と技術で安心して治療を受けていただけます。
サージカルガイドを用いた、精密なインプラント治療
インプラント治療では、3DCTでスキャンした患者様のお口の情報をもとに、インプラントの埋入位置を事前にシミュレーションします。
デジタルデータから「サージカルガイド(手術用テンプレート)」を作り、患者様のお口の中に固定して、インプラントを埋入します。
また、症例によっては、歯ぐきを切開せずにインプラントを埋入する“フラップレス術式”にも対応でき、
出血や腫れ、痛みを最小限に抑えた「低侵襲」な治療を行うことができます。
低侵襲とは?
低侵襲(ていしんしゅう)とは、手術や検査において、痛みや発熱、出血など(侵襲)を最小限に抑えようと努める医療行為のことを指します。低侵襲による 治療は患者様のご負担も少なく済み、回復も早くなります。
高精度3D画像で患部を捉える、SIRONA社レントゲン機器
当院では、SIRONA(シロナ)社製の三次元レントゲン機器「ORTHOPHOS XG 3D」を導入しています。この装置により、患部を立体的に把握できる3D画像での診断が可能となり、従来よりもさらに精密な治療計画を立てることができます。
また、視覚的にわかりやすい3Dビューにより、患者様にもご自身のお口の状態や治療方針をしっかりとご理解いただけるのも大きな特徴です。
「納得して治療に臨みたい」という方にとっても、大きな安心材料となる技術です。
10年保証システム「ガイドデント」
スマイルデンタルオフィスでは、インプラント治療に「ガイドデント10年保証システム」を導入しております。(※別途保証料あり)
10年間長期保証を確実にお約束
当院では、インプラント治療に「ガイドデント社(第三者保証機関)」による10年保証制度を導入しています。当院の治療がガイドデントの定める厳しい治療基準をクリアし、「認定歯科医療機関」として認証されているからこそ実現できる保証制度です。
※保証の適用には、定期的なメインテナンスの受診が必要です。治療の品質を長く保つためにも、継続的なチェックをおすすめしています。
引っ越し・転院しても安心「全国対応の10年保証制度」
「インプラント10年保証」は、ガイドデント認定歯科医療機関で共通して利用できる保証システムです。 治療後にライフスタイルの変化によって転居や転院があった場合でも、全国にある他の認定医療機関で保証を継続利用することができます。
発行される「保証書」は、全国共通で有効な公式な証明書として、長期的な安心をサポートします。
骨が足りない方にも対応 「CGF再生療法」
インプラント治療を検討されている方の中には、「顎の骨が足りない」と言われた経験をお持ちの方もいらっしゃいます。そのような場合、当院では患者様ご自身の血液から生成する“CGF再生療法”を用いた治療法をご提案することがあります。
CGF再生療法では、血液中の血小板やフィブリンなどの成分を濃縮・抽出し、骨や歯ぐきの再生を促すことができます。使用するのは100%患者様ご自身の血液のみで、一切の薬剤や添加物を使用しないため、安全性が非常に高いのが特長です。
骨の厚みや高さが不足している方にも、安心してインプラント治療を受けていただける選択肢のひとつです。
- 感染リスクの減少
- 止血作用の促進
- 軟組織の治療促進
- 骨再生誘導療法(GBR)への利用
患者様のための4Sコンセプト
-
Short治療期間短縮効率的な治療計画で無理なくムダを省く。 -
Small低侵襲術式のおける
人体への負担(=侵襲)を抑える。 -
Simple簡単・簡便治療の工程をなるべくシンプルに
わかりやすく。 -
Safe安全清潔な環境で安心安全の術式を提供。
※4s conceptは、インプラント治療の第一人者で院長の細谷が師事する、林揚春先生が提唱するコンセプトです。
専用オペルーム
インプラント埋入手術のため、専用のオペルームを設けました。
慎重に行うべきインプラント埋入手術だからこその配慮となります。無菌の環境を整える事、スタッフが集中出来る環境である事、そして患者様ご本人が他人の目を気にせず、安心して手術に臨んで頂ける事を目的としています。
人工の歯の根を骨に埋め込み、その上に人工の歯を装着する治療法です
歯を失った際、これまでは入れ歯やブリッジが主な治療法とされてきました。しかし、入れ歯は安定感に欠けることがあり、機能面や見た目で満足できない場合もあります。また、ブリッジは健康な歯を削る必要があり、残っている天然歯に負担をかけてしまうというデメリットもあります。
こうした問題を解消するために開発されたのがインプラント治療です。
すでに30年以上の臨床実績があり、信頼性の高い歯科医療技術として広く普及しています。
当院で使用しているインプラントシステムは、生体親和性に優れた「純チタン製」であり、体とのなじみも良く、安全性にも定評があります。
インプラントの構造と仕組み
歯を失った部分の顎の骨に、フィクスチャー(人工歯根)を埋め込み、その上にアバットメント(連結部分)を介して人工歯(クラウン)を装着します。 チタン製のフィクスチャーは顎の骨としっかり結合し、自然な歯のような安定性と機能を再現することが可能です。
- しっかりと固定されているため、入れ歯のような不安定さがなく、ほぼ自然な感覚で噛むことができます。
- 表情や口元の印象が自然になり、人前で話すときの不安も軽減されます。
- 噛む力が回復することで、食べ物の制限がなくなり、バランスの良い食事が楽しめます。楽しい食事は身体の健康だけでなく、心の豊かさにもつながります。
入れ歯ではダメなの?
どんなに良い入れ歯を作っても、患者さんからは「入れ歯の使い心地ってこんなものなんでしょうね」と言われる――。
これは長年入れ歯の研究に身を捧げて来た末に、インプラント研究に転身された学者の言葉です。
確かに、入れ歯には構造的な限界があります。
人工歯を支える“床”や、固定のための“バネ”は、どれだけ精巧に作られていても、口の中で異物として感じられてしまうのです。たとえ0.1mmの厚みでも、私たちの口はその存在を敏感に異物として察知してしまいます。さらに、「しっかり噛みたい」と思うあまりにバネを強く固定すれば、周囲の健康な歯に負担がかかってしまうというリスクも否めません。
一方、インプラントは顎の骨にしっかりと固定され、余計なパーツや異物感がありません。治療直後の数日を除けば、まるで自分の歯のような自然な噛み心地と快適さを取り戻すことができます。つまり、インプラント治療は、入れ歯やブリッジに満足できなかった方にこそおすすめできる選択肢です。
快適に食事を楽しみ、自然な笑顔で過ごしたい――
そんな日常を取り戻したい方に、インプラントという新しい選択肢をご提案します。
インプラントの安全性
インプラントの歴史は非常に古く、実はその起源は紀元前にまでさかのぼります。 古代から長きにわたり研究が重ねられてきましたが、現代において飛躍的な進歩を遂げたのは、純チタンが骨と結合する特性(オッセオインテグレーション)の発見によるものです。
現在では、世界中の研究機関が膨大な研究と臨床試験を重ね、各メーカーが形状や素材の改良を続けています。
私たちは、そうした長年の研究成果と技術革新の恩恵を受けながら、安全で効果的なインプラント治療を受けることができるのです。
インプラントの生着率(骨と結合して機能する割合)は95%以上という高い成功率が示されています。ただし、まれに手術直後に脱落するケースもあり、これは患者様の生活習慣やメンテナンス不足、医院側の術前診断や術後ケアの不備が要因となることもあります。安全で正確なインプラント治療を行うためには、複数の検査が必要ですが、特にCTスキャンによる画像診断は不可欠です。あごの骨の厚み・質・形状、神経や血管の位置まで三次元的に把握することで、治療のリスクを最小限に抑えることができます。
当院では、最新のCT機器を用いた事前診断を徹底しています。また、患者様にも治療の進め方やリスク、術後に注意すべきことを立体的な画像とともにわかりやすくご説明し、納得と安心を得たうえで治療に臨んでいただける体制を整えています。
なぜインプラント治療費は高額なのか?
インプラント治療は、1本あたりおよそ50万円前後が一般的とされています。
高額な理由には、いくつかの明確な根拠があります。
まず、国内外のインプラントメーカーは、毎年数億円規模の研究開発費を投じて、より安全で正確な治療を可能にするインプラント体を開発しています。使用される素材も非常に重要で、インプラントには不純物のない「純チタン」が使用されています。
この純チタンは、金属疲労に強く、耐腐食性にも優れており、プラチナや金と同等レベルの耐久性を持つ金属です。精製が非常に難しいため、装飾品ではあまり使われませんが、医療用素材として非常に高い価値を持っています。
さらに、インプラントの上部構造であるクラウン(被せ物)も、見た目・耐久性の両方を重視してセラミックやジルコニアなどの高品質素材が使用されることが多くなっています。ジルコニアは人工ダイヤモンドにも使われる素材で、天然歯に近い透明感と強度を再現できます。
これらのクラウンは、専門の歯科技工士が数日かけて細部まで調整・仕上げを行い、自然な見た目と高い精度を実現しています。
加えて、インプラントを正確に埋め込むための専用機器・無菌手術室の整備・クリーンな院内環境の維持といった、治療の安全性を支える体制にもコストがかかります。
つまり、インプラント治療の費用は、高度な技術・高品質な素材・専門的な設備や人材を総動員して実現される医療サービスの対価であり、決して「歯科医師の利益を優先した価格設定」ではないのです。
インプラント治療のリスク・副作用
- インプラント治療は、機能性や審美性を重視した保険適用外(自費診療)のため、保険診療に比べて費用が高額となります。
- インプラントを顎の骨に埋め込むため、外科手術が必要となります。
- 以下のような全身疾患をお持ちの方は、治療を受けられない場合があります。
高血圧症/心臓疾患/喘息/糖尿病/骨粗鬆症/腎臓や肝臓の機能障害など - 手術後は、一時的に痛みや腫れが生じることがありますが、通常は1週間程度で自然に改善します。
- 手術後、歯肉・舌・唇・頬の感覚が一時的に麻痺することがあります。また、顎・鼻腔・上顎洞(鼻腔の両側の空洞)の炎症、疼痛、組織治癒の遅延、顔面部の内出血が現れることがあります。
- 手術後に処方されたお薬の副作用として、眠気・めまい・吐き気などの症状が現れる場合があります。
- 喫煙や飲酒は治癒を妨げる原因となるため、手術後1週間程度はお控えください。
- インプラントの寿命(耐用年数)は、口腔内の状態(骨や歯ぐきの健康、噛み合わせ、ブラッシングの精度、メンテナンス受診の頻度、喫煙の有無など)によって個人差があります。
- 毎日のセルフケアが不十分な場合、インプラントの周囲に炎症が起こる「インプラント周囲炎」を引き起こすことがあり、歯ぐきの腫れや骨の吸収などを招く恐れがあります。



