症例詳細
CASE
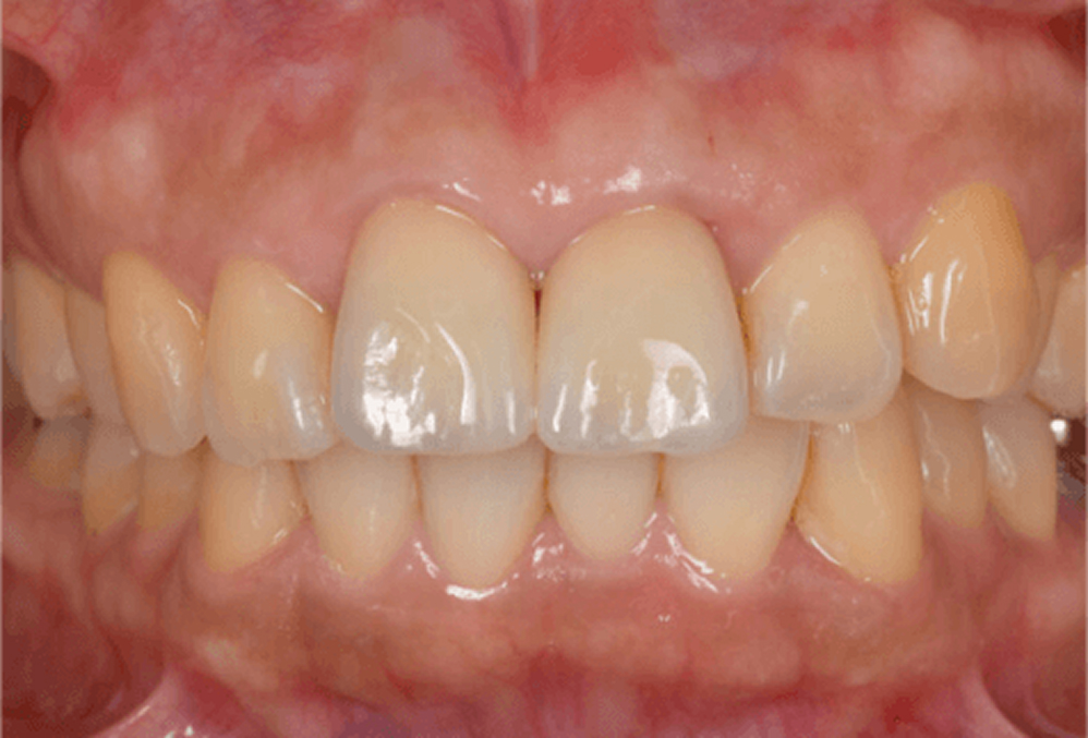
40代女性 抜歯即時インプラント埋入、即時仮歯
BEFORE
AFTER
スライダを左右にドラッグして
画像を比較できます
画像を比較できます
| 主訴 | 40代女性の症例 差し歯が外れてしまったとのことで来院されました。 診察時に、反対側の右上の差し歯についても不安を感じておられ、あわせて治療をご希望されました。 カウンセリングの結果、インプラント治療およびセラミックによる補綴治療を行う方針となりました。 |
|---|---|
| 治療内容 | 抜歯即時インプラント埋入、即時仮歯 |
| 治療期間 | 5カ月 |
| 治療費 | 544,500円 ※税込 |
リスク
- 機能性や審美性を重視するため自費(保険適用外)での診療となり、保険診療よりも高額になります。
- インプラントの埋入にともない、外科手術が必要となります。
- 毎日の清掃が不十分だった場合、インプラント周囲炎(歯肉の腫れや骨吸収など)を引き起こすことがあります。
40代の患者様は「差し歯が外れてしまった」とのことで来院されました。診察の際に、反対側の右上の差し歯についても不安を感じておられ、あわせて治療をご希望されました。
カウンセリングの結果、見た目の回復と長期的な安定性を両立させるため、インプラント治療とセラミックによる補綴治療をご提案しました。今回は、対象となる歯を抜歯した直後にインプラントを埋入し、即時仮歯を装着する方法を採用しています。これにより、治療中であっても審美性を維持しながら機能を確保することができ、患者様にとって大きな安心につながります。
本症例では、治療を進めながら口腔全体のバランスを整えることで、自然な仕上がりと安定した噛み合わせを実現できました。